62岁邝先生,体检查出肝肿块,随后确诊为肝癌,经过多次综合治疗,肝脏原发肿瘤进行了根治性切除,控瘤情况满意。
然而,在定期的随访复查中,发现左肺新出现一个结节并逐渐增大,考虑为肺转移瘤,成为了邝先生和医生们的心头之患。在多学科会诊后,最终医生和患者决定采用微波消融这种创伤极小的手术方式来解决掉这个心头之患。
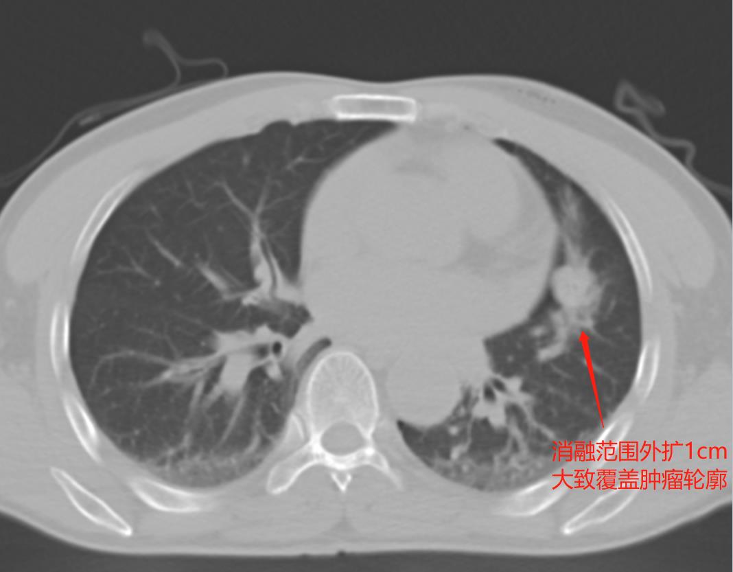
不用切除正常肺组织,也不会影响肺功能,CT介入消融术是真正的“微创”手术,可达成肿瘤的精准爆破,手术是使用一根特制的消融针刺入病变,发射微波,像“微波炉”一样把病变组织“烤熟”,使其失活;为了确保消融效果,一般消融范围需要在病灶外扩至少1cm。
但是在术前的CT评估显示,这个转移瘤紧贴心脏,之间没有任何间隙,给手术团队提了一个难题,如何才能达到安全消融?
为了确保患者的安全,手术并没有安排在常规的CT介入手术室,而是选择了复合手术室,这里配备了高端血管造影机,全球顶尖移动式滑轨CT、专用无影灯、麻醉塔、外科塔,显示器吊塔,数字化控制设备等先进设备;更有强大并待命的多学科外科医生团队,不仅能实现百级层流环境中安全诱导全身麻醉、更加精准的术中引导,也可在出现紧急情况时由胸心外科、介入科等医生组成的团队参与保驾护航。
做好准备工作,在患者就位后,手术团队轻门熟路的完成了患者的安置、麻醉、术前定位,由CT介入团队的朱柏霖教授主刀,将消融针精准的刺入患者左肺转移瘤的正中位置,使用手术室的滑轨CT扫描确认针尖位置满意、随后朱柏霖教授创新性的通过胸穿针刺入患者左侧胸膜腔人造气胸,利用空气在左肺和心脏之间建立一个间隙,为消融范围外扩留出了安全距离。
在手术团队的多位医生通力合作下,该患者的肺转移瘤消融术毫无悬念成功结束,随后拔针时抽出人造气胸的气体,使肺组织恢复原状,术中即时通过手术室移动式滑轨CT复查显示消融范围覆盖肺转移瘤并安全外扩1cm,患者苏醒顺利,没有任何并发症,手术仅在胸壁上留下了两个一两天内即可愈合的小针眼,术后第二天即可下床活动。
离开复苏室时,邝先生卸下了近几个月发现肺转移瘤逐渐增大时的压力,露出了轻松的神情。
在郴州市第一人民医院外科大楼的第 7 层楼,落成了两间占地约 200 平方米的 “航母” 型复合手术室。这两间复合手术室通过智能化数字精控 CT 轨道,将 MRI、CT、DSA 三大设备 “复合” 在了一起,不仅可以将多种影像融合,提供术前快速诊断,也可在术中实时成像、影像引导、精准定位,更可以在术后提供一站式实时复查的全面支持。“复合手术室的启用,不仅仅是设备的融合,而且是数据的融合,影像的融合,技术的融合,团队的融合”,郴州市第一人民医院谢敖文副院长说到。
患者和临床的需要,就是我们奋斗的方向。影像医学中心介入组拥有按照开展IV类手术的标准建设的复合影像介入手术室,并配齐了64排螺旋CT、多勒普彩超及介入专用探头、西门子DSA-CT一体机、前列腺粒子植入系统、先进放疗TPS计划系统等完备的影像介入设备;目前有14名正式医师,其中高级职称5人、五年以上CT介入经验8人,开展各式影像引导介入手术五千余台次,主持在研四项市级科研项目、两项院内科研及技术项目,近几年发表CT介入方向SCI及核心期刊论文十余篇。为了适应医院集团化发展,影像医学中心介入组一直在郴州市第一人民医院各个院区提供服务,开展的项目包括:
- 全身各部位的穿刺活检;
- 全身各部位的囊肿、脓肿、积液的置管引流及硬化治疗;
- 恶性肿瘤放射性粒子植入(内放射治疗)术;
- 全身各部位实体瘤的微波消融术;
- 经皮胃造瘘术;
- 肺小结节凝胶定位、针对骨折及骨肿瘤的骨成形术。




